UCD Research - March 2020
Characterisation and cytomorphometic diagnostic test for canine lymphoma
Peter James O’Brien, head of clinical pathology, and his global team of five summer students report on completion of a rapid test for canine lymphoma
Objective and methods
Canine lymphoma (LSA) is commonly diagnosed based on multiple cytological features of fine-needle aspirates, including that most lymphocytes are larger than a neutrophil. The objective of this study was to determine if analysis of cytomorphometry of photo-images concorded with diagnosis of LSA. Glass slides of smears from lymph-node aspirates were retrieved from 109 cases of LSA previously diagnosed by both clinical and cytological findings, of which nine were small-cell (hand-mirror) LSAs, and from 102 non-LSA dogs subcategorised as having nodal, cytological findings of normal benign, inflammation, plasma cell hyperplasia, hand-mirror cells, and increased numbers of large lymphocytes. Cell images were obtained manually by photomicroscopy or automatically by slide scanners. In up to 100 cells randomly chosen, intact cells were selected as discriminatory and effective in diagnosis.
Incidence of LSA
Over a 10-year period, 560 cases of canine LSA were identified in the archives for clinical pathology data. Only nine of these were diagnosed as hand-mirror cases. Cases of LSA used in this study were randomly selected from those over this period. It is estimated that ~70,000 canine cases were examined in this time period.
Symptoms
The most frequent sign by far in these cases, occurring 18 times, was weight loss with anorexia or inappetence, nine were referred due to splenic, intestinal, mediastinal, thoracic or abdominal masses.
Breed Prevalence
There was an apparent breed predisposition to LSA. Of the 109 dogs with LSA, the ratio of dogs with LSA to control dogs of the same breed was conspicuous for a few breeds. It was highest for the boxer, at 10:1; 6:1 for the West Highland white terrier; 17:3 for the retriever; 5:0 for the Jack Russell terrier.
Age
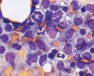
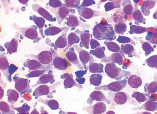
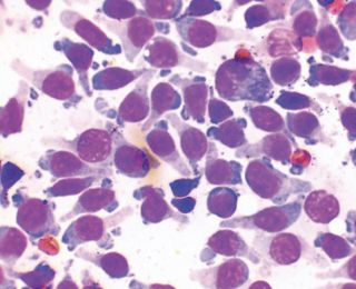
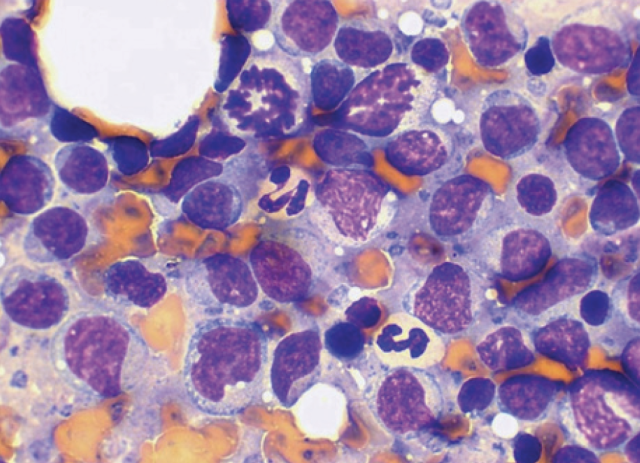
The mean age (±SD) of dogs presenting with LSA was 11.4 ± 4.1 years and ranged from 1.8 to 22.8. Figure 1 (below) on the left characterises the appearance of most canine LSA with increased size and altered morphology of lymphocytes. Most cells are bigger than neutrophil. Figure 2 on the right characterises the typical appearance of small cell lymphomas. Most cells have a hand-mirror appearance.
Cytomorphology
Specific cytomorphological features were frequently noted in the cytological descriptions of the 109 LSA cases: increased cell size in 97 (in none of the LSA-HMs); basophilia in 90, increased mitoses in 87 (in five of the nine hand-mirror cases); increased nucleoli in 82 (only one of the nine hand-mirror LSAs); increased lymphoglandular bodies in 69; increased nuclear detail in 68; eccentric placement of the nucleus in 51 (all the hand-mirror LSAs); increased tingible-body macrophages in 42; prominent perinuclear Golgi zone in 30. In 83 of the 109 cases, at least two lymph nodes were found to be affected. Fifteen cases were immunophenotyped of which three were found to be B-cell and 12 found to be T-cell. An additional four were identified as T cells based on hypercalcemia, and an additional three were identified as T cells based on the small, clear, hand-mirror, cell phenotype.
Cytomorphometry
The average length of a lymphocyte in a benign node is 9µm, which is equivalent to one and a quarter erythrocytes, with less than 26% lymphocytes being longer than a neutrophil. In contrast, the average lymphocyte length in malignancy is one-third larger at 12µm which is equivalent to one and two-thirds of an erythrocyte. Although malignant node lymphocytes have similar shapes as benign node lymphocytes, they are bigger: one-third longer and with three-quarters greater area.
Conclusion
The typically occurring, medium-to-large cell form of canine LSA can be diagnosed by 25 random cell measurements, if 36% of lymphocytes are bigger than a neutrophil. Small cell lymphoma can be diagnosed when there is hand-mirror appearance of cells and they are 50% longer than wide. Cytomorphometric diagnosis of LSA is rapid (<15 min), easy, accurate, objective, quantitative, automatable, non-specialist, and digital.
In association with


Peter James O’Brien
Students involved in this research:
Javier Martinez from University of Santiago de Compostela; Julie Pourrat from University of Toulon in France; Charlene Desseauve from the University of Clermont Auvergne in France; Ailish Lynch a Canadian and UCD veterinary graduate; and Stratos Papakonstantinou a Greek and former UCD vet resident. Students’ research study time was funded by the Erasmus Programme or by UCD.















