Emergency management of dyspnoea
Dyspnoeic patients require immediate attention, assessment and stabilisation to prevent respiratory fatigue which can rapidly lead to respiratory arrest. Dyspnoeic animals, however, can be challenging to manage as many dyspnoeic animals are too unstable to tolerate investigations. Important decisions, therefore, need to be made based on clinical assessment and a capsular history. Laura Cole MA VetMB MVetMed PgCert VPS CertAVP (ECC) DACVECC DECVECC MRCVS, discusses key aspects of respiratory triage, emergency diagnostics and therapy
Respiratory triage
Regardless of the cause of the respiratory distress, animals will be at their most fragile immediately after presentation owing to the stress of transportation and handling. These patients need to be assessed in a quiet area with easy access to oxygen therapy and emergency drugs. Physical examination should focus on the major body systems: the respiratory, cardiovascular and neurological systems
An initial observational respiratory triage is recommended. Assessment of the patient’s posture, respiratory rate, effort and breathing pattern can all be done at a distance. Postural manifestations of severe dyspnoea include abducted elbows, extended neck and shifting body positioning. Particular attention should be given to the presence of any respiratory noise and whether it is primarily inspiratory or expiratory, as well as close assessment of the excursion of the chest wall relative to the abdominal wall. Inspiratory respiratory noises are indicative of upper airway disease, and asynchronous chest and abdominal wall movements alongside decreased lung auscultation are highly suggestive of pleural space disease. Emergent intubation is more likely to be required in cases of severe upper respiratory distress. However, the use of an anxiolytic such as butorphanol should be attempted prior to emergency intubation. To be prepared for emergency intubation, one should have anaesthetic induction agents and a variety of sizes of endotracheal tubes as well as a urinary catheter for use as guide-wire to enable rapid intubation should it be required.
Thoracic auscultation should be performed systematically with each hemithorax divided up into quadrants. Auscultation should compare dorsal to ventral and left to right. Assessment of increased lung sounds, crackles, wheezes, presence of gut sounds and absence of noise may all be important findings. It is important to note that there may be more than one pathology present which can distort your findings. For example, the combination of pulmonary contusions alongside a pneumothorax can result in normal chest auscultation. It is also important to auscultate at the thoracic inlet and over the trachea as some upper respiratory sounds may well be referred. A thorough assessment of key respiratory signs will aid respiratory localisation and help to guide the next diagnostic steps.
Cardiovascular assessment may reveal the presence of a murmur, gallop or arrhythmia that may support a diagnosis of cardiogenic pulmonary oedema. The presence of a tachycardia in the presence of a murmur in a dog should increase the index of suspicion for cardiogenic pulmonary oedema. However, cats with heart disease do not always present tachycardic with a murmur.
Assessment of the patient’s neurological system is usually limited to mentation and whether the patient is ambulatory. If the patient is recumbent and there is any indication of trauma, careful handling is important in case of spinal fractures. A cat presenting paraparetic with absent femoral pulses and dyspnoea should alert you to the possibility of congestive heart failure. Patients with dyspnoea may also appear neurologically inappropriate secondary to severe hypoxia. Animals that progress to lateral recumbency with extended neck and mydriatic pupils are demonstrating severe cerebral hypoxia and would require immediate intervention.
Animals with upper respiratory dyspnoea are often hyperthermic and, therefore, temperature measurement should be performed, if possible, in a stress-free manner. If this is not possible, early judicious cooling methods, such as use of a fan may be considered.
Other clinical findings to help determine the cause of dyspnoea include: oral burns suggestive of smoke or thermal injury, presence of subcutaneous emphysema in cases of upper airway trauma and the presence of wounds or scuffed nails suggestive of a traumatic event. Abdominal palpation may feel ‘empty’ in cases of diaphragmatic hernia and the thoracic may be minimally compressible with presence of a mediastinal mass.
When assessing the dyspnoeic patient, it is important to be aware of ‘lookalikes’ and be sure to assess these on your physical examination. Tachypnoea could be secondary to pain, stress, acidosis, anaemia, as well as a consequence of electrolyte or metabolic disorders.
A capsular history should be taken from the owner at the point of triage. Important respiratory questions would include the presence of ocular/nasal discharge, history of sneezing and/or coughing, as well as a brief general medical history. Cardiac disease and cases with pyothorax can themselves present with no or vague clinical signs such as anorexia and weight loss. A full worming and vaccine history are important when considering infectious causes of dyspnoea and are particularly important for the practicalities of nursing these patients.

Figure 1a. Flow by oxygen

Figure 1b. Nasal prongs.

Figure 1c. Face mask

Figure 1d. Oxygen carrier.
Oxygen supplementation
Oxygen therapy should be provided at the point of triage and during handling.
Whilst there are a number of methods of oxygen supplementation, it is essential the method selected is well-tolerated by the patient to minimise stress. Non-invasive means of oxygen supplementation such as flow by oxygen, nasal prongs and use of a face mask are preferred during the initial setting and oxygen cages or tents are the preferred method for providing longer-term oxygen therapy, particularly in cats as they have the added advantage of minimising the stress handling (See Figures 1a, 1b, 1c, and 1d).
When choosing the method of oxygen therapy it is also important to consider the approximate fractional inspired oxygen (FiO2) each therapy delivers and as well as the duration of oxygen therapy required.
Flow by oxygen is simple and easy to administer causing minimal stress. An oxygen flow rate of 2-3L/min usually provides about 25-30 per cent FiO2 if the oxygen tubing is located within 2cm of the animal’s nose. The temptation when delivering flow by oxygen is to increase the flow rates to achieve higher oxygen concentrations, however flow rates greater than 2L/min are generally poorly tolerated. Nasal prongs can increase the FiO2 achieved and can be placed in the emergency setting with minimal stress but they are less effective if the patient is mouth breathing and can be easily removed by the patient.
Oxygen face masks have the advantage of providing fractional inspired oxygen concentration of 50-60 per cent if they are a tight fit. However, face masks are generally less tolerated than flow by oxygen in all but the severely obtunded animal.
Commercial oxygen cages can deliver between 30-80 per cent fractional inspired oxygen concentrations. However, when the cage door is open, the oxygen concentration will rapidly fall and it takes more than 15 minutes to get oxygen concentrations above 35 per cent again. Commercial oxygen cages are usually vented to minimise the build-up of carbon dioxide and can also control humidity.
Alternatives to commercial cages, include oxygen tents and human neonatal incubator units. Humidified oxygen is provided by bubbling the oxygen through a tube submerged in a bottle of sterile saline prior to being delivered to the patient via a length of tubing (Figure 2). However, both of these alternatives are not vented and, therefore, require regular opening to allow for carbon dioxide to escape. The temperature can be set within the cage, but this needs to be monitored carefully to prevent hyperthermia.

Figure 2. Bubble humidifier
Emergency diagnostics
Rapid venous access and collection of blood for an accompanying minimum database to include packed cell volume, total solids, lactate, electrolytes, creatinine and blood smear assessment should be considered as soon as physically possible after initial assessment. The use 0.1-0.2mg/kg butorphanol intramuscularly prior to attempting catheterisation usually helps minimise the stress of intravenous catheter placement.
Smooth and rapid intravenous catheterisation is crucial in these patients. If there is any concern the patient is decompensating, they should be allowed to temporarily rest in oxygen to reduce further stress and worsening oxygen demand.
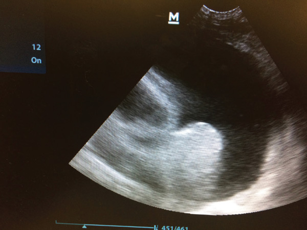
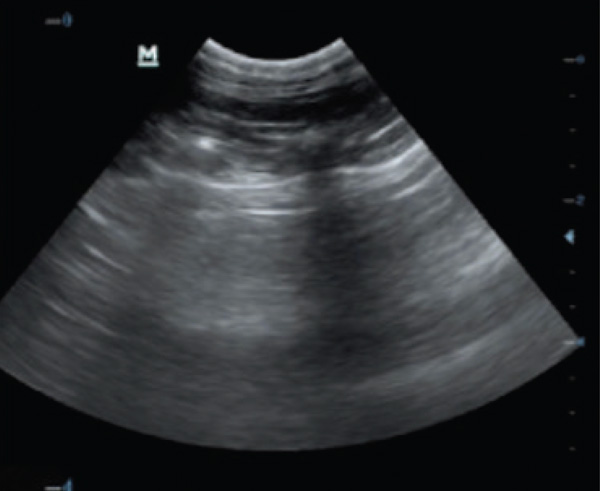
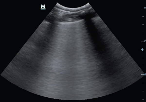
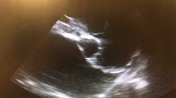
Point-of-care ultrasound is a tool to be used alongside the physical examination in the initial assessment of the dyspnoeic patient. No clipping is required, instead parting the fur and application of spirit to the skin should provide adequate contact for the probe. Placement of the probe in the rib spaces at numerous places dorsally and ventrally in numerous sites on both the left and right hemithorax will allow for assessment of pleural space disease and pulmonary disease. Pleural effusion and pericardial effusions can be identified easily as largely anechoic areas (Figure 3a). However, exudates may appear to be more echogenic. Ultrasound features of lung disease include the presence of ‘B lines’ or 'comet tails’ obliterating the normal ultrasound-gas interference (Figures 3b and 3c) With practice, cardiac chambers and the presence of a ‘glide sign’ can also be assessed on point-of-care ultrasound. Placement of the probe vertically between the ribs on the right hemithorax over the apex heartbeat allows visualisation for the four chamber view and then, with movement of the probe horizontally and cranially, the left atria to aorta ratio can be assessed. This requires practice and care should be taken to ensure correct chambers are identified before attempting a measurement. Increased left atria to aorta ratio suggests cardiac disease as strongly as the case of dyspnoea (Figure 4). A glide sign or ‘sliding lung’ represents the pleural-pulmonary line and in the absence of pleural space disease the lung glides along the thoracic wall as the patient breathes in and out. Absence of this line is suggestive of a pneumothorax.

Figure 3a. Pleural effusion

Figure 3b. A lines on normal lung ultrasound

Figure 3c. B lines

Figure 4. Enlarged left atrium to aorta
When faced with a dyspnoeic animal, objective assessment of the adequacy of oxygenation is useful to enable one to monitor the effect of any interventions. Normal methods of oxygen assessment, including pulse oximetry and arterial blood gas sampling, are very challenging in a dyspnoeic patient and rarely would alter the initial management of the case. These measurements are, therefore, usually not attempted in all but the severely obtunded animal. However, during the physical examination, particular attention should be paid to the colour of the mucous membranes. Cyanosis, the blue discolouration of mucous membranes, indicates severe hypoxemia (arterial oxygen concentration 37mmHg, saturation of oxygen 67 per cent) requiring immediate intervention.
Emergency procedures
During the assessment of a dyspnoeic patient, certain findings may prompt you to perform emergency procedures.
The most common emergency procedure required is thoracocentesis. Thoracocentesis is a relatively straightforward life-saving procedure that should be performed in any patient where pleural space disease is suspected to be the cause of the dyspnoea. The technique itself can be performed patient side under sterile conditions with minimal sedation with a butterfly catheter, three - way tap and syringes for collection (Figure 5).
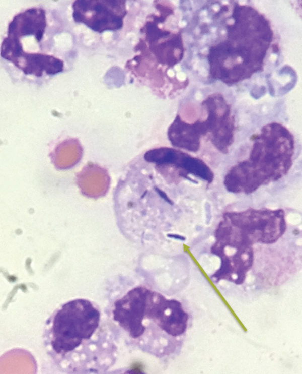
Thoracocentesis is not only therapeutic but also diagnostic. Samples should be collected and placed in EDTA for cell counts and plain tubes for culture. Manual PCV and Total Solid should be performed alongside cytology. Cytological evaluation is the gold standard bedside diagnostic test of pyothorax – cytology will reveal the presence of intracellular bacteria (Figure 6). Chylothorax fluid classically appears pink and creamy but in anorexic patients it may be clear. A definitive diagnosis is based on measurement of triglycerides and cholesterol in the fluid compared to the serum; fluid triglyceride concentrations are usually greater than the serum, whereas cholesterol levels are lower. Chylothorax can result from multiple causes but has been particularly associated with heart disease and neoplasia.

Figure 5. Thoracocentesis

Figure 6. Intracellular bacteria present on cytology

Figure 7. Small bore chest drain.
In certain cases, the placement of a chest drain may be considered after the initial thoracocentesis. Indications for placement of a chest drain include: failure to achieve negative pressure when draining a pneumothorax and for management of a pyothorax. Commercial small bore-wired chest drains can be placed under minimal sedation and are useful in management of such conditions (Figure 7, page 604).
When assessing a patient post-thoracocentesis, it is important to consider other pathologies that are still present that may also be contributing to the patient’s dyspnoea and be sure to manage these. It is particularly important to re-auscultate the chest for better assessment of co-existing pulmonary disease. Pulmonary contusions often are present in cases of traumatic pneumothorax, pulmonary oedema occurs alongside pleural effusion in congestive heart failure and in cases of pyothorax there is often an accompanying pneumonia. All of these will likely require continual oxygen support post-thoracocentesis.
Drug therapy
In the emergent setting, the priority is to minimise stress and treat any treatable condition. The use of low dose butorphanol between 0.1-0.2mg/kg intramuscular may help minimise the stress of dyspnoeic patients. However, if the patient has had a history of trauma, a pure opioid such as methadone at doses of 0.2mg/kg intramuscular may be preferred.
In those patients who are really not compliant to handling and pose a hazard to themselves and staff, the use of butorphanol combined with a benzodiazapine and alfaxolone or ketamine may be considered. Ketamine can cause tachyarrhythmia and, therefore, should not be used in animals with suspected cardiac disease.
Emergency treatments consist predominantly of the use of frusemide, bronchodilator and steroid administration. Based on the history, clinical presentation and use of point-of care ultrasound, a rationale drug choice can usually be made prior to obtaining a definitive diagnosis.
A dyspnoeic dog with a murmur, tachycardia, dyspnoea, B lines and enlarged left atrium to aorta ratio is highly likely to have congestive heart failure. Early use of frusemide may improve the patient’s condition. Therefore, a frusemide trial of 1-2mg/kg intramuscularly or intravenously can be performed. With pulmonary oedema, there should be a decrease in respiratory rate after frusemide therapy when the patient is not stressed. If there is no significant improvement, frusemide can be discontinued. If there is significant improvement, starting a continuous rate infusion of frusemide may be beneficial to minimise the resultant electrolyte disturbances that occur as a consequence of frusemide use.
A patient with tachypnoea, expiratory effort, a wheeze, alongside a history of a cough and absence of a pleural effusion on point-of care ultrasound is likely to have lower airway disease. The use of a bronchodilator may be life-saving in these circumstances. Terbutaline is a selective bronchodilator but can cause tachyarrhythmia so should not be used in patients with suspected heart disease.
The use of steroids in the emergency setting should be confined to cases of suspected upper airway inflammation or lower airway disease and doses should not exceed anti-inflammatory doses. It is important to be aware that steroid therapy can also worsen a patient in congestive heart failure’s condition. A full list of emergency drugs and doses are available in Table 1.

Table 1. Drugs for respiratory emergencies
If there is no clear underlying cause of the dyspnoea and the patient is unstable for travel to a referral centre, trialling a combination of diuretic, bronchodilator and a single dose of steroid can always be attempted as final resort.
Monitoring the response to therapy
Once initial patient diagnostics and interventions have been made the animal should be observed continuously in an oxygen cage. Continual monitoring of respiratory rate and effort should be performed and should the patient be failing to improve or deteriorate then the patient should be reviewed. There is a fine balance between over intervening with an animal in oxygen and causing unnecessary stress.
Further diagnostics
Further diagnostics should only occur when the patient is more stable. Radiography is crucial in assessing a patient with respiratory signs but should only be performed when the patients are more stable and it is possible to get a full three view chest series (dorsoventral, right and left lateral). All three views are required for a complete assessment of respiratory system. Conditions such as aspiration pneumonia may only be seen on a single lateral radiograph. It is important to remember that cardiomegaly is not always apparent on radiographs in cats and, therefore, it is necessary to rely on evidence of pulmonary venous congestion alongside an alveolar pattern to help make a diagnosis of congestive heart failure (Figure 8).
Later diagnostics including full blood count and biochemistry may be useful in assessment of inflammatory states and particularly useful post-diuretic therapy to monitor electrolytes and renal parameters post-therapy. ProBNP measurement may be useful to help support a diagnosis of congestive heart failure and can be measured in pleural fluid as well as plasma.
Echocardiography and endoscopy with airway washing are useful for definitive diagnosis on the underlying cause and can be performed at the primary practice or at a referral clinic but are not essential in the first 12 hours of the patient being in the clinic.

Figure 8. HCM and CHF
Further reading
- Lisciandro, G. (2014) Focused Ultrasound Techniques for the Small Animal Practitioner, Wiley-Blackwell, New Jersey
- Boysen SR, Lisciandro GR. The use of ultrasound for dogs and cats in the emergency room: AFAST and TFAST [published correction appears in Vet Clin North Am Small Anim Pract. 2013 Nov;43(6):xiii]. Vet Clin North Am Small Anim Pract. 2013;43(4):773-797.
- Ward JL, Lisciandro GR, Ware WA, et al. Evaluation of point-of-care thoracic ultrasound and NT-proBNP for the diagnosis of congestive heart failure in cats with respiratory distress. J Vet Intern Med. 2018;32(5):1530-1540
- Chalifoux NV, Drobatz KJ, Reineke EL. Predictors of inflammatory lower airway disease in cats presented to the emergency room in respiratory distress: a case-control study [published online ahead of print, 2021 Mar 1]. J Feline Med Surg. 2021;1098612X21996145. doi:10.1177/1098612X21996145
- Hezzell MJ, Ostroski C, Oyama MA, Harries B, Drobatz KJ, Reineke EL. Investigation of focused cardiac ultrasound in the emergency room for differentiation of respiratory and cardiac causes of respiratory distress in dogs. J Vet Emerg Crit Care (San Antonio). 2020;30(2):159-164.
- Janson CO, Hezzell MJ, Oyama MA, Harries B, Drobatz KJ, Reineke EL. Focused cardiac ultrasound and point-of-care NT-proBNP assay in the emergency room for differentiation of cardiac and noncardiac causes of respiratory distress in cats. J Vet Emerg Crit Care (San Antonio). 2020 Jul;30(4):376-383.
- Stillion JR, Letendre JA. A clinical review of the pathophysiology, diagnosis, and treatment of pyothorax in dogs and cats. J Vet Emerg Crit Care (San Antonio). 2015;25(1):113-129.
1) Which form of oxygen supplementation is best utilised during the initial respiratory triage?
A. Flow by oxygen
B. Face mask
C. Oxygen tent
D. Oxygen cage
2) Which of the following physical examination FINDINGS is indicative of upper respiratory disease as the cause of dyspnoea?
A. Inspiratory noise
B. Wheeze
C. Crackles
D. Muffled lung sounds
3) Which of the following drugs should be used first-line to relieve stress in a dyspnoeic patient?
A. Acepromazine
B. Butorphanol
C. Medetomidine
D. Propofol
4) Which of the following DIAGNOSTICS or therapeutics is recommended in the initial management of a dyspnoeic dog found to be tachycardic with a loud murmur auscultated on physical examination and B lines and enlarged left atria:aorta detected on point-of-care ultrasound?
A. Thoracic radiograph
B. Electrocardiogram
C. Complete echocardiogram
D. Frusemide administration
5) Which of the following is the most common side effect of the bronchodilator, terbutaline?
A. Coughing
B. Vomiting
C. Tachypnoea
D. Tachycardia
Answers: 1A; 2A; 3B; 4D; 5D.













