Approach to canine insulinoma
Myles McKenna MVB MVetSci MVetMed DACVIM (SAIM) DECVIM-CA MRCVS, assistant professor in small animal internal medicine at University College Dublin, presents an overview of canine insulinoma
Insulinoma is defined as an insulin-secreting tumour of pancreatic beta-cells, and is the most common endocrine tumour of the pancreas in dogs.1,2 Approximately 80% of insulinomas present as a solitary pancreatic mass, and they are typically located in one pancreatic limb rather than in the pancreatic body.3-5 The vast majority of insulinomas are malignant,6 and metastatic disease is usually present at the time of diagnosis, although gross metastasis is only evident in approximately 50% of cases during surgery.1,7 The most common sites for metastasis are the regional lymph nodes, liver and lungs.2,8 The mean age of dogs diagnosed with insulinoma is nine years (range three to 15 years). It is most commonly reported in medium- to large-breed dogs, but neither sex appears to be overrepresented.3
Pathophysiology
Upon entering pancreatic beta cells, glucose is metabolised to adenosine triphosphate (ATP), resulting in the closure of ATP-dependent, voltage-gated potassium channels on the surface of the beta cell. This leads to beta-cell depolarisation and the subsequent exocytosis of insulin. Normally, insulin secretion is inhibited when blood glucose concentration is less than 4mmol/L, to prevent the development of hypoglycaemia.
Neoplastic beta cells acquire the ability to release insulin independently of blood glucose concentration.3 Therefore, in dogs with insulinoma, insulin secretion can occur even if blood glucose concentration is <4mmol/L, leading to the development of hypoglycaemia. When hypoglycaemia occurs, the body’s compensatory response is to increase the secretion of counter-regulatory hormones: glucagon, catecholamines, glucocorticoids and growth hormone.
Clinical signs and physical examination findings
Most clinical signs of insulinoma result from neuroglycopenia (shortage of glucose in the central nervous system) and from excessive counter-regulatory hormone secretion (especially catecholamines) in response to hypoglycaemia.4,5 Neuroglycopenia may result in clinical signs such as weakness, collapse, ataxia, disorientation and seizure activity. Signs related to excessive catecholamine secretion may include trembling, restlessness and polyphagia. The severity of clinical signs an individual dog develops can be linked to the severity of hypoglycaemia and the rate at which hypoglycaemia develops. More severe hypoglycaemia is likely to cause more severe clinical signs, and could result in coma or death. Dogs who experience a rapid drop in blood glucose are likely to display clinical signs related to excessive catecholamine release. Clinical signs are commonly episodic, due to temporary restoration of normoglycaemia by the actions of counter-regulatory hormones.
Physical examination is commonly unremarkable in dogs with insulinoma.9 If only a short time has elapsed since seizure activity occurred, post-ictal changes such as cranial nerve deficits or altered mentation may be present. Increased body condition score may be noted due to the anabolic effects of insulin. A peripheral polyneuropathy, suspected to represent a paraneoplastic autoimmune disorder, has been reported in some dogs with insulinoma; this is characterised by pelvic limb paresis or tetraparesis with decreased to absent appendicular reflexes.10,11
Differential diagnoses
In dogs presenting for evaluation of episodic weakness or collapse, differential diagnoses that should be considered include seizure activity, cardiac syncope, paroxysmal dyskinesia, myasthenia gravis, hypoadrenocorticism, upper respiratory tract obstruction (eg. brachycephalic obstructive airway syndrome or severe tracheal collapse) and breed-specific, exercise-induced collapse syndromes. Obtaining a detailed description from owners of the nature of the episodes and their relation to exercise and feeding may prove helpful in refining this list of differential diagnoses. Insulinoma should always be considered as a differential diagnosis when investigating for extracranial causes of confirmed or suspected seizures. A list of differential diagnoses for dogs presenting with hypoglycaemia is presented in Table 1.

Table 1: List of differential diagnoses for canine hypoglycaemia.
The hallmark of insulinoma is documentation of concurrent hypoglycaemia (<3mmol/L) and hyperinsulinism (serum insulin within or above the reference interval).12 When blood glucose levels are low, insulin secretion should be negligible; therefore, even if serum insulin is within the reference interval, this is considered an abnormal finding in the face of hypoglycaemia. Because hypoglycaemia may be episodic, blood glucose concentrations have often normalised by the time the animal is presented for veterinary examination, which can make diagnosis of insulinoma challenging. In normoglycaemic dogs strongly suspected to have an insulinoma, documenting low or low-normal serum fructosamine13 or using a FreeStyle Libre flash glucose monitoring system may be helpful to strengthen evidence that the animal is experiencing episodes of hypoglycaemia. Alternatively, or additionally, the dog can be hospitalised and fasted, with serial blood glucose measurement performed every 30-60 minutes to increase the chance of capturing an episode of hypoglycaemia. Most dogs with insulinoma will become hypoglycaemic within 12 hours of fasting.14 It is vital that the serum submitted for measurement of insulin concentration is collected when the patient is hypoglycaemic (blood glucose <3mmol/L). Insulin-to-glucose or glucose-to-insulin ratios have low sensitivity, and their use is not recommended.14
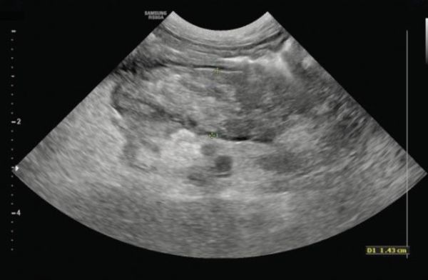
Aside from possible hypoglycaemia, it is common for the findings of complete blood count, serum biochemistry and urinalysis to be completely normal in dogs with insulinoma. Mild hypokalaemia and/or mildly increased alanine transaminase (ALT) activity have been reported in some cases.5 Thoracic and abdominal imaging are recommended in all dogs with suspected insulinoma, to assess for the presence of a pancreatic mass and to screen for metastatic disease. Thoracic and abdominal radiography is usually normal in dogs with insulinoma.5,15,16 Abdominal ultrasound is more sensitive, with approximately 56% of dogs with insulinoma having an ultrasonographically-detectable pancreatic mass (Figure 1).3,4,15 Dual-phase computed tomography (CT) appears to be the most effective means of identifying a pancreatic mass, with a reported sensitivity of 71%.17

Figure 1: Sonographic image of a pancreatic mass in a dog with insulinoma.
TREATMENT
Management of hypoglycaemic crisis
Administration of a dextrose bolus should be reserved for dogs experiencing an acute hypoglycaemic crisis. A bolus of 0.5g/kg dextrose diluted 1:3 in normal saline can be administered and followed up with a 2.5% or 5% dextrose constant rate infusion (CRI).14 It is necessary to dilute the bolus prior to administration to the patient to decrease the risk of causing phlebitis. The minimum amount of dextrose necessary to relieve the dog’s clinical signs should be administered; this is to prevent stimulation of further insulin secretion which risks causing a subsequent rebound hypoglycaemia. Care must also be taken not to allow dextrose solution to leak into the perivascular space, where it could cause severe perivascular irritation/sloughing. It is recommended that dextrose boluses and CRIs are administered through an intravenous catheter that was successfully placed on the first attempt and of which successful placement has been confirmed by flushing with heparinised saline.
If dextrose alone is insufficient to control signs of hypoglycaemia, other options that may help to increase blood glucose concentration include dexamethasone (0.1-0.2mg/kg IV q24h), or a glucagon CRI. In the event that a glucagon CRI is used, blood glucose concentrations must be carefully monitored for rebound hypoglycaemia (caused by the stimulation of insulin secretion by glucagon). A glucagon CRI dose of 5-13ng/kg/min with or without concurrent 10% dextrose has been suggested.18
Long-term management
The long-term treatment options for canine insulinoma can be divided into surgical and medical options.
Surgery
Surgical exploration and resection of the pancreatic mass and any gross metastasis is the treatment of choice for insulinoma.4,19 Submission of the resected tissue for histopathology provides definitive diagnosis of insulinoma. In dogs with no evidence of gross metastasis and in which complete resection of the pancreatic mass is achieved, it is possible that surgery could be curative; however even in these cases micrometastasis has often already occurred, which will result in future disease recurrence. In dogs where complete resection of the insulinoma cannot be achieved, surgical debulking of the tumour typically results in an improvement in clinical signs by decreasing the amount of viable insulin-producing cells remaining in the body. Longer survival times are reported with surgical management than with medical management alone. In three studies of dogs treated surgically for insulinoma, the median survival time (MST) after partial pancreatectomy ranged from 372-785 days.4,19,20 Longer survival times are seen in dogs with disease limited to the pancreas (MST 625 days) than in dogs with metastatic disease (MST 320 days).20 Post-operative hyperglycaemia is one of the most commonly documented post-operative complications.8,20 Approximately 33% of dogs treated surgically develop
a transient post-operative hyperglycaemia, which resolves days to weeks after surgery once the function of normal beta cells (which have been suppressed by the production of insulin by neoplastic beta cells) recovers. Approximately 10-19% of dogs will develop diabetes mellitus after partial pancreatectomy.8,20 Other reported peri-operative complications include pancreatitis, diabetic ketoacidosis, haemorrhage and sepsis.14 It is important that owners are made aware of the potential surgical risks, and it should be ascertained pre-operatively that owners have the ability and commitment to care for a diabetic dog in the event that post-operative diabetes mellitus occurs.
Medical management
Medical management options are generally used in dogs who are deemed to be non-surgical candidates (due to pancreatic mass size or location, the presence of comorbidities or due to extensive metastasis). Their use can also be considered in addition to surgery either pre- or post-operatively.
Prednisolone
Prednisolone increases blood glucose concentrations by several mechanisms including stimulation of gluconeogenesis and glucagon secretion and inhibition of glucose uptake into tissues. Prednisolone also antagonises the effects of insulin directly by decreasing the sensitivity of insulin receptors.7 An initial dose of 0.5mg/kg/day per os is suggested. This dose can gradually be titrated upwards as required to control clinical signs.21
Diazoxide
Diazoxide acts by inhibiting the closure of the ATP-dependent voltage-gated potassium channels on pancreatic beta cell membranes, thereby inhibiting insulin release. Additional actions include stimulation of gluconeogenesis and glycogenolysis, and inhibition of glucose uptake into tissues. Diazoxide is generally well tolerated, however ptyalism, decreased appetite and vomiting have been reported in some dogs.14 Approximately 70% of dogs will exhibit a positive response to diazoxide. It is suggested to initiate treatment at a dose of 10mg/kg/day (divided into doses given every eight to 12 hours) and to gradually titrate the dose upwards to a maximum of 40mg/kg/day as required to control hypoglycaemia.
Streptozocin
Streptozocin is a nitrosurea antibiotic that selectively destroys neoplastic beta cells (both in the pancreas and in metastatic locations). It is nephrotoxic in dogs, and therefore intravenous fluids must be administered for at least two to three hours pre- and post-streptozocin treatment to decrease the risk of nephrotoxicity occurring. Various protocols for administration have been described; once such protocol describes the administration of 500mg/m2 streptozocin intravenously every three weeks for a total of five treatments.22 Other complications that have been reported with streptozocin therapy include development of diabetes mellitus, vomiting and seizures.22 Due to limited evidence of efficacy and a high incidence of adverse effects, the use of streptozocin for management of insulinoma is not recommended.14
Octreotide
Octreotide is a long-lasting somatostatin analogue. By binding to somatostatin receptors on pancreatic beta cells, it inhibits insulin secretion. However, octreotide may also cause variable inhibition of glucagon and growth hormone secretion. This results in a variable response to treatment, and worsening of hypoglycaemia may actually occur in some dogs.23 Reported adverse effects of octreotide include pain at the injection site and gastrointestinal signs such as vomiting or constipation.
Tyrosine kinase inhibitors
Recent interest in the use of tyrosine kinase inhibitors such as toceranib phosphate (PalladiaTM) has emerged, based on the efficacy of sutanib, another tyrosine kinase inhibitor, in clinical trials of humans with pancreatic neuroendocrine tumours.24,25 Anecdotal reports of efficacy dogs with insulinoma have been reported,26 but more studies are needed before the routine use of tyrosine kinase inhibitors can be recommended for treatment of insulinoma.
Dietary management
Small frequent (every four- to six-hourly) meals of diets high in fat, protein and complex carbohydrates are recommended, whereas simple sugars should be avoided to prevent a sudden surge in insulin secretion. Meal size and meal constituents should be kept as consistent as possible.
Prognosis
Across three studies, the median survival time after partial pancreatectomy ranged from 12-14 months.3-5,12 Dogs with no gross metastasis at the time of surgery have a significantly longer disease-free interval than dogs where metastasis has already occurred. Younger dogs, and dogs with persistent post-operative hypoglycaemia have a poorer prognosis than dogs without these characteristics.20 Tumour size and Ki67 index (a proliferation marker depicting the mitotic rate of the tumour on histopathology) have also been identified as prognostic markers in canine insulinoma.27
Conclusion
Canine insulinoma remains a challenging condition to diagnose and treat in veterinary medicine. In general, surgery should be considered the treatment of choice for insulinoma. Due to the highly metastatic nature of canine insulinomas, owners should always be informed of the likelihood of the disease recurring in the future, even in cases where complete resection of a solitary pancreatic mass has been achieved and where there is no gross metastasis. Several medical options are available, which should be considered in dogs who are not surgical candidates, where surgery is declined by owners, or where disease recurs after surgery.
-
Feldman E, Nelson R. Canine and Feline Endocrinology and Reproduction. 3rd ed. St Louis: Saunders Elsevier; 2004. Chapter 14, Beta cell neoplasia: insulinoma; p. 616-644
-
Elie M, Zerbe C. Insulinoma in dogs. Compendium on Continuing Education for the Practising Veterinarian 1995; 27:51-59
-
Trifonidou M, Kirpenstrijn J, Robben J. A retrospective evaluation of 51 dogs with insulinoma. The Veterinary Quarterly 1998; 20:114-115
-
Tobin R, Nelson R, Lucroy M et al. Outcome of surgical versus medical treatment of dogs with beta cell neoplasia: 39 cases (1990-1997). Journal of the American Veterinary Medical Association 1999; 215:226-230
-
Kruth S, Feldman E, Kennedy P. Insulin-secreting islet cell tumors: establishing a diagnosis and the clinical course for 25 dogs. Journal of the American Veterinary Medical Association 1982; 181, 54-58
-
Hawkins K, Summers B, Kuhajda F. Immunocytochemistry of normal pancreatic islets and spontaneous islet cell tumours in dogs. Veterinary Pathology 1987; 24:170-179
-
Steiner J, Bruyette D. Canine Insulinoma. Compendium on Continuing Education for the Practising Veterinarian 1996; 27:51-59
-
Lunn K, Page R. Withrow and MacEwen’s Small Animal Clinical Oncology. 5th edition. St Louis: Saunders Elsevier; 2013. Chapter 25. Tumors of the endocrine system; p. 504-531
-
Donn J, Bostock D, Herrtage M, et al. Insulin-secreting tumours of the canine pancreas: clinical and pathological features of 11 cases. Journal of Small Animal Practice 1993; 34:325-331
-
Schrauwen E, Van Ham L, Desmidt M, et al. Peripheral polyneuropathy associated with insulinoma in the dog: clinical, pathological, and electrodiagnostic features. Progress in Veterinary Neurology 1996; 7:16-19
-
Braund K, McGuire J, Amling K, et al. Peripheral polyneuropathy associated with malignant neoplasms in dogs. Veterinary Pathology 1987; 24:16-21
-
Dunn J, Heath M, Herrtage M, et al. Diagnosis of insulinoma in the dog: a study of 11 cases. Journal of Small Animal Practice 1992; 33:514-520
-
Mellanby R, Herrtage M. Insulinoma in a normoglycaemic dog with low serum fructosamine. Journal of Small Animal Practice 2002; 43:506-508
-
Schoeman J. Textbook of Veterinary Internal Medicine. 8th edition. St Louis: Saunders; 2017. Chapter 303. Insulin-secreting tumors; p. 1762-1767
-
Lamb C, Simpson K, Boswood A, et al. Ultrasonography pf pancreatic neoplasia in the dog: a retrospective review of 16 cases. Veterinary Record 1995; 137:65-68
-
Caywood D, Klausner J, O’Leary T, et al. Pancreatic insulin-secreting neoplasma: clinical, diagnostic and prognostic features in 73 dogs. Journal of the American Animal Hospital Association 1988; 24:577-584
-
Tucker O, Crotty P, Conlon K. The management of insulinoma. British Journal of Surgery 2006; 93:264-275
-
Fischer J, Smith S, Harkin K. Glucagon constant-rate infusion: a novel strategy for the management of hyperinsulinemic-hypoglycemic crisis in the dog. Journal of the American Animal Hospital Association 2000; 36:27-32
-
Polton G, White R, Brearley M, Eastwood J. Improved survival in a retrospective cohort of 28 dogs with insulinoma. Journal of Small Animal Practice 2007; 48:151-156
-
Del Busto I, German A, Treggiari, et al. I. Incidence of postoperative complications and outcome of 48 dogs undergoing surgical management of insulinoma. Journal of Veterinary Internal Medicine 2020; 34:1135-1143
-
Kyles A, Slatter D. Textbook of Small Animal Surgery. 3rd edition. Philadelphia: Saunders; 2002. Chapter 120. Endocrine pancreas; p. 1724-1736
-
Moore A, Nelson R, Henry C, et al. Streptozocin for treatment of pancreatic islet cell tumors in dogs: 17 cases (1989-1999). Journal of the American Veterinary Medical Association 2002; 221:811-818
-
Robben J, van den Brom W, Mol J, et al. Effect of octreotide on plasma concentrations of glucose, insulin, glucagon, growth hormone and cortisol in healthy dogs and dogs with insulinoma. Research in Veterinary Science 2006; 80:25-32
-
Fjallskog M, Lejonklou M, Oberg K, et al. Expression of molecular targets for tyrosine kinase receptor antagonists in malignant endocrine pancreatic tumors. Clinical Cancer Research 2003; 9:1469-147
-
Papaetis G, Syrigos K. Sunitinib: A multitargeted receptor tyrosine kinase inhibitor in the era of molecular cancer therapies. BioDrugs 2009; 23:377-389
-
Grant E, Burgess K. Canine insulinoma: diagnosis, treatment and staging. Today’s Veterinary Practice 2016; 60-64
-
Buishand F, Kik M, Kirpensteijn J. Evaluation of clinco-pathological criteria and the Ki67 index as prognostic factors in insulinoma. Veterinary Journal 2010; 185;62-67
1. Which of the following treatments for insulinoma is most likely to result in nephrotoxicity?
a. Streptozocin
b. Diazoxide
c. Glucagon
d. Octreotide
2. What is the primary mechanism of action of diazoxide?
a. It is cytotoxic to beta cells
b. It is a somatostatin analogue
c. It inhibits closure of ATP-dependent potassium channels on beta cells
d. It increases glucagon secretion
3. High amounts of which of the following dietary constituents should be avoided in dogs with insulinoma?
a. Complex carbohydrates
b. Protein
c. Fat
d. Simple carbohydrates
4. What is the sensitivity of dual-phase CT for detecting the presence of a pancreatic mass in dogs with insulinoma?
a. 25%
b. 48%
c. 71%
d. 95%
5. Which of the following statements about canine insulinoma is true?
a. They are more commonly found in the pancreatic body rather than in a pancreatic limb
b. Persistent hypoglycaemia after surgery is a negative prognostic indicator
c. Insulin-glucose ratios are highly sensitive
d. Female dogs are more likely to develop insulinoma than males
Answers: 1A; 2C; 3D; 4C; 5B.








