Focus > Companion animal - May 2020
Case study: Canine heartworm disease diagnosed in Ireland
Esther López Bailén DVM, internal medicine intern, University College Dublin Veterinary Hospital, presents an intriguing case study detailing the detection, diagnosis and treatment of heartworm in a Staffordshire bull terrier-cross
Click on image to view
Introduction
Dirofilaria immitis (D. immitis) is a zoonotic filarial nematode transmitted by mosquitoes of the species Culex, Aedes, and Anopheles, that causes heartworm disease in many species including dogs and cats. In recent years, there has been an increase in the spread of this pathogen from southern to more northern European countries. This is thought to reflect both environmental and climatic factors, as well as the more frequent movement of pets within the European Union (EU). To the author's knowledge, there have been no previous publications reporting heartworm infection in dogs in Ireland.
History and physical examination
A three-year-old female neutered, Staffordshire bull terrier-cross was presented to University College Dublin Veterinary Hospital in September 2019 with a four-month history of a dry, non-productive cough and recent episodes of haemoptysis. The dog had tested positive for D. immitis antigen (SNAP 4DX Plus test, IDEXX); the most recent test was performed one week prior to presentation. The dog had been imported from the Canary Islands (Spain) in September 2019 following rehoming from an animal shelter in May 2019. Treatment in Spain and Ireland prior to presentation had included injectable moxidectin and topical fluralaner.
At presentation, the dog was bright, alert, and responsive with a body condition score of four out of nine. The mucous membranes were pink and moist with a capillary refill time of fewer than two seconds. Cardiac and thoracic auscultation were unremarkable; the heart rate was 136 beats per minute and the dog was moderately tachypneic with a respiratory rate of 48 breaths per minute. The rectal temperature was 38.9oC. No abnormalities were found on abdominal palpation and peripheral lymph nodes were within normal limits.
Diagnosis
Routine blood tests were performed, with haematology showing mild thrombocytopenia (103 x 109/L; reference interval (RI) 150-500 x109/L) and a mild lymphocytosis 3.97 x 109/L; RI (1-3.6). Biochemistry and urinalysis were unremarkable. Antigen test for vector-borne diseases (SNAP 4DX Plus test, IDEXX: D. immitis, Ehrlichia canis, Ehrlichia ewingii, Borrelia burgdorferi, Anaplasma phagocytophilum, Anaplasma platys) was positive for D. immitis. A modified Knott’s test (filtration method for the detection of microfilaria) was negative.
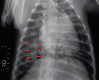
Thoracic radiographs revealed enlargement of the pulmonary arteries, mild to moderate right ventricular enlargement and a moderate diffuse, unstructured interstitial pattern with patchy alveolar areas within the right cranial and middle lung lobes (see Figures 1 and 2). Echocardiography revealed right atrial enlargement with bulging of the interatrial septum to the left, mild subjective enlargement of the right ventricle and mild to moderate central pulmonic regurgitation with a mildly elevated velocity (2.8m/s; reference value <2.2m/s). The pulmonary artery was mildly enlarged and contained multiple mobile, tortuous linear hyperechoic structures, likely to reflect the presence of adult worms (see Figure 3). The laboratory test results in combination with the imaging findings were consistent with a diagnosis of canine dirofilariasis.
Treatment
Initial treatment consisted of prednisolone (day 0) – 0.5mg/kg orally, twice daily (BID), for seven days followed by a gradual dosage reduction over a four-week period. On day one, oral doxycycline – 10mg/kg orally BID was commenced for 28 days – and a monthly macrocyclic lactone, in this case ivermectin – 6mcg/kg, subcutaneously, given at the referring practice – were also started. The dog was discharged the same day with strict instructions for complete exercise restriction with the aim of minimising the risk of thromboembolic complications. A repeat appointment was planned for day 60, to allow for re-evaluation and administration of the first dose of melarsomine dihydrochloride (2.5mg/kg intramuscularly into the epaxial muscles). The plan would then have been to follow this with a second and third dose of this drug on days 90 and 91 respectively.
The owner contacted us one month after discharge reporting that the dog had deteriorated during the preceding days, showing frequent episodes of coughing, some of them productive with a transparent mildly blood-tinged mucoid material expectorated. At this point, access to melarsomine was not yet possible due to the requirement for a special license. Melarsomine is not currently an authorised veterinary medicinal product within Ireland, and a delay would have ensued whilst seeking to obtain the necessary importation license. Re-starting the original treatment protocol with prednisolone and doxycycline with continued strict rest was advised whilst the melarsomine and license were accessed. Despite this management, the dog’s respiratory condition deteriorated again one month later, and she re-presented to us a few days later for reassessment. The prednisolone had been stopped one week prior to this presentation, resulting in a recurrence of the episodes of cough and hemoptysis within a few days, which had then progressed in severity.
When re-presented, the dog was hypoxemic and required oxygen therapy. Haematology, biochemistry and standard coagulation times were unremarkable, and the antigen test for D. immitis was now negative. Thoracic radiographs revealed right-sided cardiomegaly, a worsening of the alveolar lung pattern, consistent with haemorrhage or pneumonia, and a severe widening of the right cranial lobar pulmonary artery. Echocardiography confirmed enlargement of the right side of the heart and showed severe tricuspid insufficiency with increased regurgitation velocity (3.95m/s; reference value <2.8m/s), suggesting severe pulmonary hypertension, likely to be the result of the heavy worm burden identified in the right branch of the pulmonary artery. The dog remained hospitalised for two days, initially with oxygen supplementation. Glucocorticoid treatment was re-commenced, initially with dexamethasone, at 0.1mg/kg intravenously, once daily (SID); then, oral prednisolone at 0.5 mg/kg SID, as well as doxycycline at 10mg/kg, orally SID. Given the presence of pulmonary hypertension, as evidenced by the abnormal increase in tricuspid regurgitation velocity in the absence of pulmonic stenosis, the dog was also started on sildenafil citrate at 1.25mg/kg orally, three times daily (TID).
It would have been preferential to include an adulticidal treatment at this stage, however it was not possible to source the melarsomine in compliance with Irish licensing. However, based on recent literature1, a nine-month treatment protocol against adult worms was started with monthly application of topical imidacloprid 10%/moxidectin 2.5%, and the ongoing doxycycline at 10mg/kg orally SID, for a total of 28 days.
Follow up
Two months later, the dog was re-presented for assessment. She was reported to have been doing very well with only mild episodes of cough observed. Ongoing treatment at this stage included prednisolone, sildenafil and monthly imidacloprid 10%/moxidectin 2.5%, having had three adulticidal topical treatments, to date. At presentation, echocardiography showed the presence of some adult worms in the right branch of the pulmonary artery, however, these appeared to be less numerous. Pulmonic and tricuspid valve insufficiency were similar to the previous visit.
Topical treatment with imidacloprid 10%/moxidectin 2.5% was to be continued for at least nine months while we continued to source the melarsomine. The plan is to continue with treatment at home and reassess the dog in six months. At the time of writing, the dog was continuing to do well on treatment at home with sildenafil citrate, prednisolone, and monthly topical imidacloprid 10%/moxidectin 2.5%.
Discussion
Dirofilariasis is a serious disease caused by infection with the filarial nematode, D. immitis, the canine heartworm. This parasite is transmitted by at least 70 different species of mosquitoes2 and results in a zoonotic disease affecting mainly dogs and other wild canids, but also cats and, on rare occasions, humans. Adult worms reside predominantly in the pulmonary arteries and occasionally the right atrium and ventricle of the heart of infected dogs causing severe cardiopulmonary disease and even death.
The long lifecycle of D. immitis can last up to nine months and starts when the mosquito vector ingests microfilariae or L1 larvae with a blood meal from an infected host. L1 larvae mature in the mosquito to infective L3 larvae, which are then injected back into another susceptible host. These L3 microfilariae travel through the new host’s tissues to the right pulmonary artery as they undergo multiple moults and become adult worms. Once inside the animal’s heart, adult worms begin to reproduce rapidly, and the viviparous females release microfilariae directly into the host’s systemic circulation. These female adult heartworms can grow up to 30cm in length and live for up to five to six years. The microfilariae are also able to survive for up to two years in the systemic circulation, waiting for the arrival of a mosquito intermediate host.
The clinical signs displayed by infected animals can range from asymptomatic carriage or a mild cough through to severe disease with cough, exercise intolerance, dyspnoea, haemoptysis and syncope. In addition, dogs with a heavy worm burden may present with what is known as caval syndrome (also known as dirofilarial haemoglobinuria), characterised by a sudden onset of severe lethargy, weakness and pale mucous membranes accompanied by haemoglobinaemia and haemoglobinuria. Intravascular lysis of the red blood cells results from shear forces as the cells effectively pass through a ‘sieve’ of heartworms present in the right atrium and venae cavae, causing anaemia and the characteristic haemoglobinuria resulting from this intravascular haemolysis. Retrograde migration of adult heartworms from the pulmonary arteries to the right ventricle, right atrium, and vena cava can also cause disruption of the tricuspid apparatus.3 Visualisation of heartworms within the tricuspid valve and posterior vena cava with echocardiography, together with the clinical signs, can aid the diagnosis of this condition. Caval syndrome is typically rapidly fatal without immediate treatment, consistent in surgical extraction of the adult worms.
Wolbachia pipiens is a gram-negative endosymbiotic bacteria known to play an important role in the dirofilarial life cycle and pathogenesis of filarial disease, although the full details of this complex interaction are not completely understood. This bacterium is involved in the promotion of larvae moulting and additionally provides the female worm with iron, an essential component for the biosynthesis of both steroidal and non-steroidal hormones necessary for embryogenesis of filariae.4,5 In return, the bacterium gains amino acids from the Dirofilaria filariae that promote bacterial growth.6 Dirofilarial disease results in a reduction in the host’s renal perfusion as a result of the inflammatory process and the presence of vascular thrombosis. In addition to this, direct damage to renal capillaries and the interstitium of blood vessels results from the presence of microfilariae and it further contributes to the development of renal disease. Compounding this situation, when Wolbachia sp. are released into host tissues allowing the death of microfilariae or adult worms, bacteria-derived molecules, including Wolbachia-surface protein (WSP), can induce an innate pro-inflammatory response7 and, as a consequence, the accumulation of polymorphonuclear leukocytes in both kidneys and pulmonary arterial walls. This exposure to both bacterial antigens and metabolites is recognised to exacerbate D. immitis-induced nephropathy and pulmonary disease.8,9 Antimicrobial therapy directed against this bacterium has been shown to result in decreased microfilarial loads, inhibition of the development of larval stages, female worm infertility, and reduced numbers of Wolbachia sp. organisms within all stages of D. immitis10, resulting in a reduction in the overall disease severity in affected patients.
Diagnosis of dirofilariasis in dogs is based on the detection of microfilariae and/or the detection of circulating heartworm antigens in combination with compatible clinical examination, and diagnostic imaging findings.11 Haematology and serum biochemistry findings in affected animals are often unremarkable but in some cases, there may be secondary non-specific abnormalities such as anaemia, eosinophilia, basophilia or a stress leukogram.12,13
Treatment of dirofilariasis is aimed to eliminate all life stages of the parasite (microfilariae, larval stages, juveniles, and adults) along with minimising post-treatment complications.14 The main post-adulticidal treatment complications include thromboembolism and intense pro-inflammatory reactions within the lung parenchyma.15 In view of this, stabilisation of affected animals prior to adulticidal treatment is recommended with the use of glucocorticoids, such as prednisolone, at anti-inflammatory doses to decrease the systemic inflammation triggered by the parasite.
Adjunct therapy with a 28-day course of doxycycline and prednisolone prior to the administration of melarsomine is recommended to try minimising the post-adulticidal treatment complications. Ideally, adulticidal treatment involves administration of three intramuscular injections of melarsomine dihydrochoride, an arsenic-containing compound. This drug should be administered by deep intramuscular injection in the epaxial muscles in the third through fifth lumbar region. Drugs belonging to the macrocyclic lactone class (eg. avermectins and milbemycins) are recommended for routine heart worm prophylaxis. These drugs are also effective against susceptible larval stages and, in some instances, against juveniles and adult heartworms.16,17 These drugs, together with the application of an EPA-registered mosquito repellent/ectoparasiticide to reduce exposure to mosquitoes, is recommended all year round in endemic countries, as well as for dogs travelling to these affected areas.14 Exercise restriction is critical for the entire duration of the treatment, which is thought to reduce the vascular inflammation and incidence and severity of thromboembolic events. Recent research has suggested that shorter protocols, with a faster elimination of heartworms are effective and have better owner compliance.18
In addition, recent research1 has shown some efficacy of topical imidacloprid 10%/moxidectin 2.5% spot on together with doxycycline as an adulticidal therapy. The study showed that monthly application for nine months resulted in antigen-negative test in 14/15 dogs in the study. However, this treatment is considered to be a ‘slow kill’ treatment, requiring up to a year of treatment, and sometimes much longer. When the infection is not addressed quickly with an adulticidal therapy, there is a greater risk of permanent damage to the pulmonary arterial system, such as fibrosis or pulmonary arterial hypertension, leading to a necessity for life-long treatment with sildenafil citrate and/or glucocorticoids. Sildenafil citrate is a highly selective phosphodiesterase type V inhibitor that results in increased concentrations of cyclic guanosine monophosphate and subsequently nitric oxide-mediated vasodilation.19 It is thought that, when used in dogs with intracardiac heartworm, it may help mobilising the heartworms by decreasing pulmonary arterial pressure, and can thus contribute to improved cardiac output.20 In view of these disadvantages, this ‘slow kill’ treatment is currently not recommended over adulticidal treatment with melarsomine, with further research into alternative treatments required.
The prognosis for heartworm infection is generally good when not associated with many clinical signs. The prognosis for severely affected animals that present with caval syndrome, massive embolisation, severe pulmonary arterial disease or heart failure, is guarded, although most cases can be successfully managed. In this case, the prognosis remains guarded, in view of the severity of the disease and inability to source the recommended adulticidal drug. In addition, the current pulmonary arterial hypertension could progress, and the dog develop right sided congestive heart failure (CHF). In view of this, ongoing monitoring for the development of clinical signs such as pleural effusion, hepatosplenomegaly or ascites is strongly recommended. Should the dog do well with the topical adulticidal treatment and prednisolone alone, the melarsomine may not be essential. However, should it be sourced, its use would be recommended to increase the response to treatment and reduce the exposure time to adult worms.
Historically, heartworm was present only in the southern European countries, however this distribution has been continuously changing in recent years due to environmental and climate change factors, along with changes in the movement of pets within the European Union. This increased transit has resulted in the exposure of pets to a variety of microbial and parasitic pathogens they would have previously never been exposed to and also have no natural immunity against. Currently, D. immitis has been found in mosquitoes in Germany and the infection has been reported in non-endemic northern European countries such as Czech Republic, Hungary, Serbia, Switzerland, Romania, Poland and most recently in Lithuania and Cyprus.21,22 A survey published in 2004 evaluated veterinary awareness and perceptions of canine heartworm in western Europe. It stated that, overall, 10% of the veterinarians in non-endemic areas reported an increasing number of cases and that heartworm infection could become endemic in previously non-endemic areas within the next five to 10 years.23 This observation emphasises the importance of vigilance and awareness against this disease for veterinarians practicing in Ireland and other non-endemic areas.
Researchers
- Esther López Bailén DVM, Internal Medicine intern, University College Dublin Veterinary Hospital
- Carlos Martinez Gil LV Dip ECVIM-CA, Aúna Especialidades Veterinarias
- Eimear Shorten DVM, resident in Diagnostic Imaging, University College Dublin Veterinary Hospital
- Emma J O’Neill BSc BVSc PhD DSAM ECVIM-CA, University College Dublin Veterinary Hospital
-
Genchi M, Vismarra A, Lucchetti C, Viglietti A, Crosara S, Gnudi G, et al. Efficacy of imidacloprid 10%/moxidectin 2.5% spot on (Advocate®, Advantage Multi®) and doxycycline for the treatment of natural Dirofilaria immitis infections in dogs. Veterinary parasitology. 2019;273:11-6.
-
Cancrini G, Magi M, Gabrielli S, Arispici M, Tolari F, Dell'Omodarme M, et al. Natural vectors of dirofilariasis in rural and urban areas of the Tuscan region, central Italy. J Med Entomol. 2006;43(3):574-9.
-
Strickland KN. Canine and feline caval syndrome. Clinical techniques in small animal practice. 1998;13(2):88-95.
-
Bandi C, Dunn AM, Hurst GD, Rigaud T. Inherited microorganisms, sex-specific virulence and reproductive parasitism. Trends Parasitol. 2001;17(2):88-94.
-
Negri I, Pellecchia M, Grève P, Daffonchio D, Bandi C, Alma A. Sex and stripping: The key to the intimate relationship between Wolbachia and host? Commun Integr Biol. 2010;3(2):110-5.
-
Foster J, Ganatra M, Kamal I, Ware J, Makarova K, Ivanova N, et al. The Wolbachia genome of Brugia malayi: endosymbiont evolution within a human pathogenic nematode. PLoS Biol. 2005;3(4):e121.
-
Saint André Av, Blackwell NM, Hall LR, Hoerauf A, Brattig NW, Volkmann L, et al. The role of endosymbiotic Wolbachia bacteria in the pathogenesis of river blindness. Science. 2002;295(5561):1892-5.
-
Kramer LH, Tamarozzi F, Morchón R, López-Belmonte J, Marcos-Atxutegi C, Martín-Pacho R, et al. Immune response to and tissue localization of the Wolbachia surface protein (WSP) in dogs with natural heartworm (Dirofilaria immitis) infection. Vet Immunol Immunopathol. 2005;106(3-4):303-8.
-
Nelson CT, Myrick ES, Nelson TA. Clinical benefits of incorporating doxycycline into a canine heartworm treatment protocol. Parasit Vectors. 2017;10(Suppl 2):515.
-
Frank K, Heald RD. The emerging role of Wolbachia species in heartworm disease. Compend Contin Educ Vet. 2010;32(4):E4.
-
(ESDA) ESoDaA. Guidelines for clinical management of canine heartworm disease. ESDA; 2017.
-
Tilley LaS, FWK. The 5-minute Veterinary Consult (Fourth Edition): Blackwell; 2004.
-
Co M. The Merck Veterinary Manual (Eight Edition): Merial; 2008.
-
Society AH. Current canine guidelines for the prevention, diagnosis, and management of heartworm (Dirofilaria immitis) infection in dogs. American Heartworm Society Wilmington, DE; 2018.
-
Kramer L, Grandi G, Passeri B, Gianelli P, Genchi M, Dzimianski MT, et al. Evaluation of lung pathology in Dirofilaria immitis-experimentally infected dogs treated with doxycycline or a combination of doxycycline and ivermectin before administration of melarsomine dihydrochloride. Vet Parasitol. 2011;176(4):357-60.
-
McCall J, Guerrero J, Roberts R, Supakorndej N, Mansour A, Dzimianski M. Further evidence of clinical prophylactic, retro-active (reach-back) and adulticidal activity of monthly administrations of ivermectin (Heartgard Plus™) in dogs experimentally infected with heartworms. 2001.
-
McCall JW, Genchi C, Kramer LH, Guerrero J, Venco L. Heartworm disease in animals and humans. Advances in parasitology. 2008;66:193-285.
-
Carretón E, Falcón-Cordón Y, Falcón-Cordón S, Morchón R, Matos JI, Montoya-Alonso JA. Variation of the adulticide protocol for the treatment of canine heartworm infection: Can it be shorter? Vet Parasitol. 2019;271:54-6.
-
Humbert M. Sitbon O, Simonneau G. Treatment of pulmonary arterial hypertension N Engl J Med. 2004;351:1425-36.
-
Tjostheim S, Kellihan H, Grint K, Stepien R. Effect of sildenafil and pimobendan on intracardiac heartworm infections in four dogs. Journal of Veterinary Cardiology. 2019;23:96-103.
-
Sabūnas V, Radzijevskaja J, Sakalauskas P, Paulauskas A. First Report of Heartworm (Helminthologia. 2019;56(1):57-61.
-
Kokkinos P, Dimzas D, Pantchev N, Tamvakis A, Balzer J, Diakou A. Filarial infections in dogs in Cyprus, an apparently heartworm free island. Vet Parasitol Reg Stud Reports. 2019;18:100330.
-
Genchi C, Bowman D, Drake J. Canine heartworm disease (Dirofilaria immitis) in Western Europe: survey of veterinary awareness and perceptions. Parasit Vectors. 2014;7:206.















